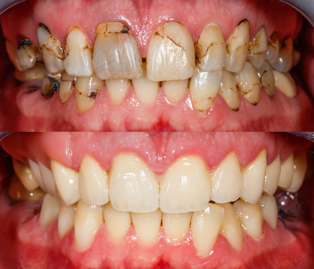
Full Mouth Rehabilitation for a Complete Smile Makeover
A captivating smile is a powerful asset, radiating confidence and leaving a lasting impression. However, factors such as ageing, accidents, or poor oral health can diminish the beauty and functionality of our teeth over time. Fortunately, with recent advancements in dental technology, a comprehensive solution known as Full-Mouth Rehabilitation has emerged. This procedure offers a transformative path to regain a dazzling smile. At Bestfit Dental Studio, our skilled dental CAD designers specialize in creating personalized restoration designs. These designs seamlessly integrate with the procedure, ensuring exceptional results that exceed expectations.
What is Full-Mouth Rehabilitation?
Full-Mouth Rehabilitation is a comprehensive dental treatment approach that combines various procedures to improve health, function, and appearance. It effectively addresses complex dental issues such as missing teeth, damaged enamel, misalignment, and bite problems. Additionally, by utilizing advanced diagnostic techniques, treatment plans are tailored to each patient’s specific needs. As a result, Full-Mouth Rehabilitation offers a holistic approach to oral care.
The Bestfit Dental CAD Designing Advantage
At Bestfit Dental Studio, our dental CAD designers play a crucial role in the success of Full-Mouth Rehabilitation. Using cutting-edge CAD software, they combine technical expertise and innovation. As a result, they craft precise, lifelike digital models of dental restorations, including crowns, bridges, veneers, and implants. These custom restorations are then meticulously fabricated in our advanced dental laboratory. Consequently, this ensures optimal fit, comfort, and aesthetics for every patient.
The Benefits of Bestfit Dental CAD Designing Services
- Precision and Accuracy: Our CAD designers, using advanced technology, create precise 3D models. This results in restorations that fit flawlessly, offering superior comfort and function.
- Personalization: We understand that every patient is unique. Therefore, our CAD designers collaborate closely with dentists and patients to create restorations that match individual preferences and facial features, ensuring a natural-looking smile.
- Time Efficiency: With CAD designing, our team streamlines the process, reducing the time for fabrication and delivery. As a result, patients can enjoy their newly restored smiles sooner.
- Cost-Effective: By utilizing CAD technology, we minimize material waste and reduce errors, leading to cost savings that are passed on to our patients.
- Enhanced Aesthetics: With the precision of digital design, we achieve highly accurate shapes, sizes, and color matching, giving patients a more natural and aesthetically pleasing result.
On-demand Digjtal Designs
With our unwavering commitment to excellence, Bestfit Dental Studio proudly leads the way in Full-Mouth Rehabilitation design and delivery. Moreover, our skilled professionals seamlessly blend technical expertise, crafting stunning and functional restorations that consistently exceed expectations.
If you’re seeking to restore your smile and enhance your oral health, we wholeheartedly invite you to experience the Bestfit difference. Additionally, contact our Bestfit Dental Studio today and discover how our advanced CAD designing services can empower dental professionals to deliver radiant smiles through Full-Mouth Rehabilitation.


