Precision and Comfort: Dental Splints
Elevating Patient Care through Bestfit Dental Studio’s CAD Designing Services
In modern dentistry, technological advancements have revolutionized the way dental professionals approach diagnosis, treatment planning, and patient care. One such innovation that has gained significant attention is dental splints. These unassuming devices play a pivotal role in providing relief, stability, and comfort to patients suffering from various dental conditions. At the forefront of this transformative process is Bestfit Dental Studio, a leader in CAD designing services, offering cutting-edge solutions that re-define the way dental splints are crafted.
Understanding Dental Splints: A Brief Overview
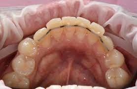
Dental splints, often referred to as occlusal splints or night guards, are custom-made oral appliances designed to address a range of dental issues. These include teeth grinding (bruxism), temporomandibular joint disorder (TMJ), malocclusions, and even to protect dental work such as crowns and bridges. By providing a cushioning barrier between upper and lower teeth, splints help alleviate pain, minimize dental wear, and promote overall oral health.
The Role of CAD Designing in Splint Fabrication
Traditional methods of creating dental splints involved manual moulding and adjustments, often leading to inaccuracies and discomfort for patients. However, the integration of Computer-Aided Design (CAD) technology has revolutionized the fabrication process. Bestfit Dental Studio stands at the forefront of this revolution, offering dental professionals access to unparalleled precision and efficiency. CAD designing enables the creation of highly accurate digital models of a patient’s oral anatomy.
Advantages of Bestfit Dental Studio’s CAD Designing Services
At Bestfit Dental Studio, our commitment to excellence continually push the boundaries of innovation. When it comes to dental splints, our CAD designing services offer a myriad of advantages that set us apart in the high-end market:
- Precision Engineering: Our CAD designers utilize state-of-the-art software to meticulously craft splint designs, ensuring an impeccable fit that maximizes patient comfort and effectiveness.
- Customization: We understand that each patient’s oral anatomy is unique. Our CAD designing services allow us to tailor splints according to individual requirements, providing a personalized solution for every patient.
- Time Efficiency: Traditional splint fabrication processes could be time-consuming and prone to errors. Our CAD technology expedites the design process, allowing dental professionals to provide patients with prompt treatment.
- Collaborative Approach: We prioritize collaboration with dental practitioners to ensure the final splint design aligns with the treatment plan and patient needs. This approach leads to enhanced patient outcomes and satisfaction.
With a steadfast commitment to excellence and a dedication to advancing patient care, Bestfit Dental Studio is reshaping the landscape of dental splint fabrication, setting new standards for precision and comfort.


